Les facettes sont des revêtements très fins en céramique qui sont collés sur la face externe des dents pour retrouver un sourire harmonieux.
Esthétique/Facettes
Nos cas cliniques
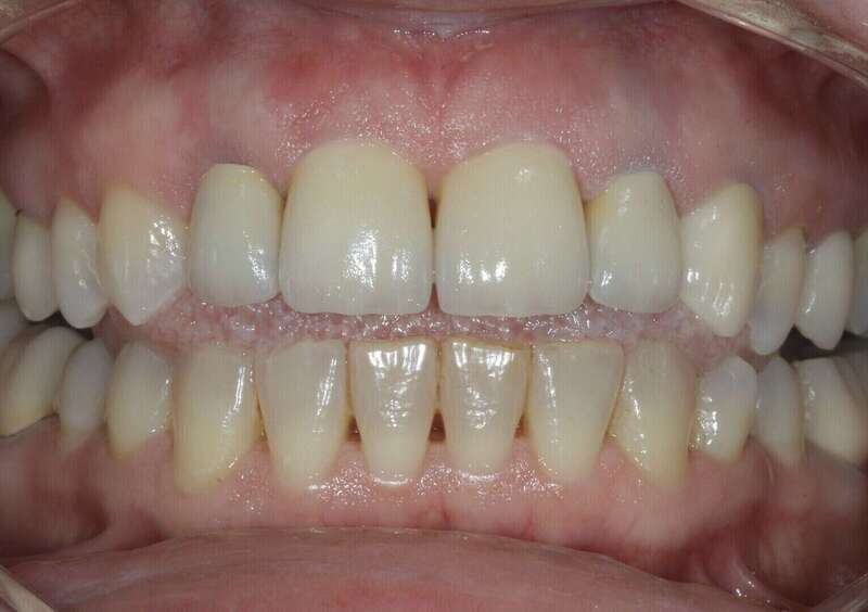
Cas 1
Patiente de 50 ans / Réhabilitation esthétique par facettes
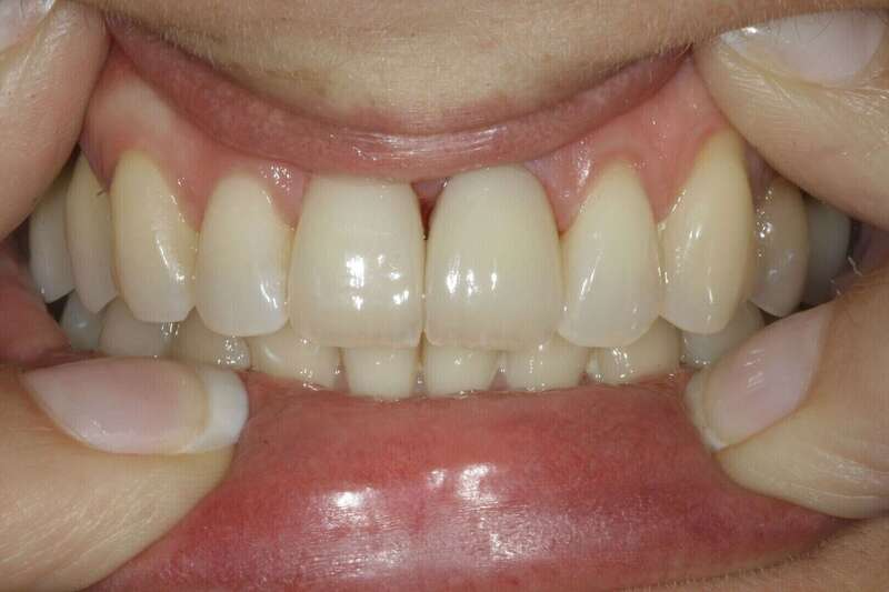
Cas 2
Patiente de 50 ans / réhabilitation esthétique par facettes
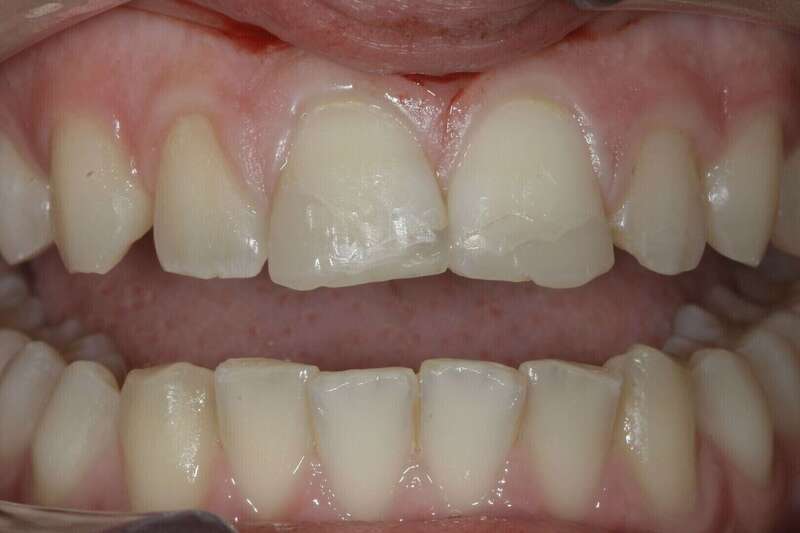
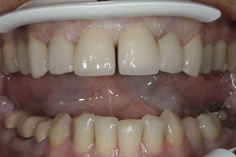
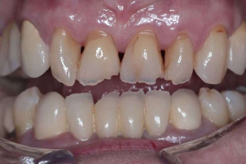
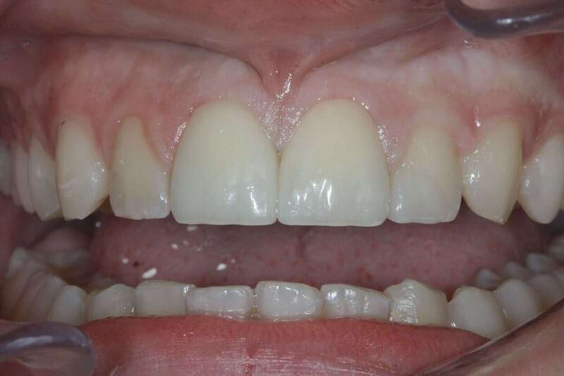
Cas 3
Patient de 16 ans / facettes suite à un choc sur les incisives
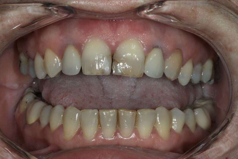
Cas 4
Patient 30 ans / réhabilitation esthétique par facettes
Cas 5
Patient de 40 ans / réhabilitation esthétique par facettes
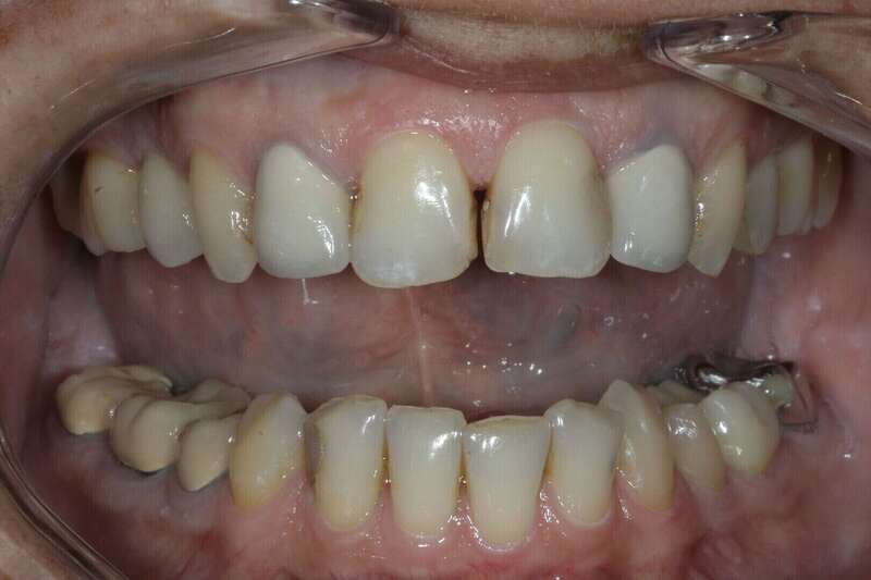
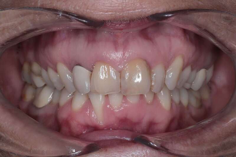
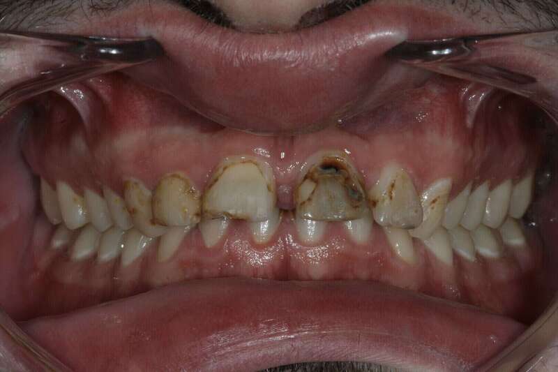
Cas 6
Patient de 60 ans / usure sévère / réhabilitation totale par couronnes et facettes
Cas 6
Patient de 60 ans / usure sévère / réhabilitation totale par couronnes et facettes
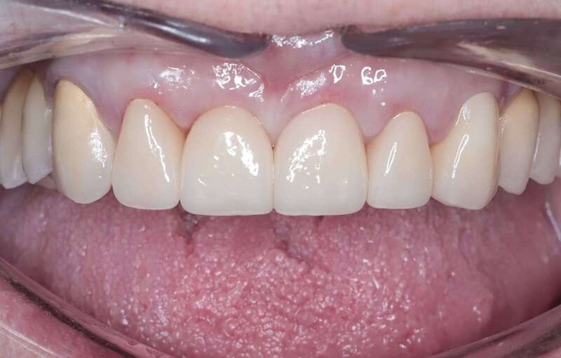
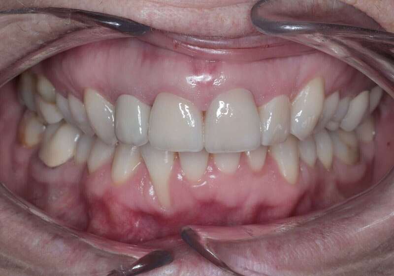
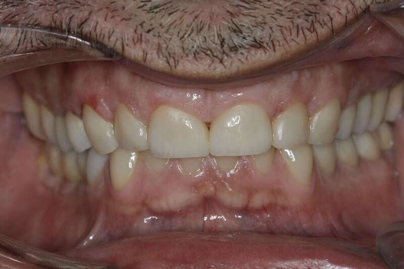
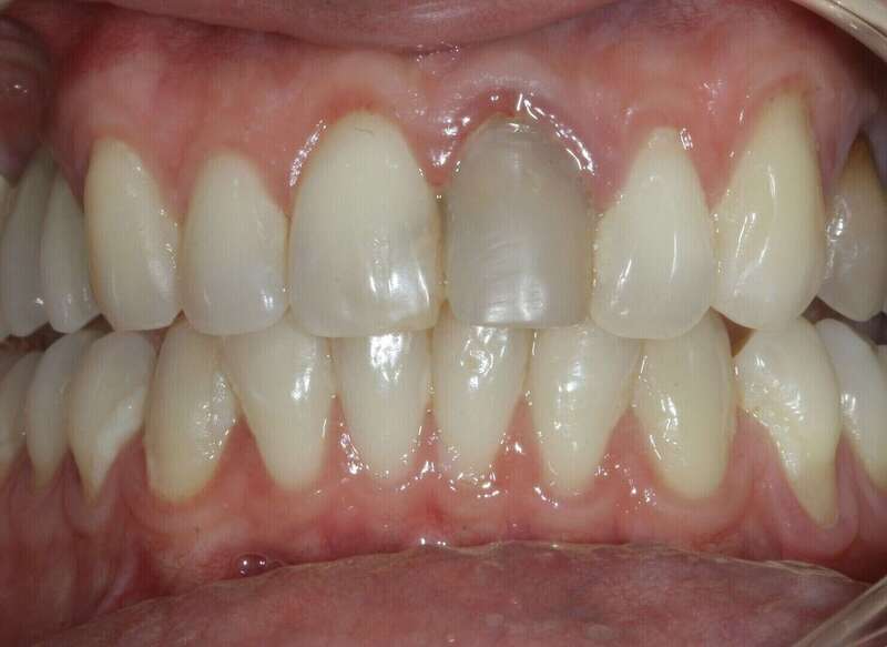
Cas 7
Patiente de 30 ans / réhabilitation des incisives centrales par couronnes et facettes
Cas 8
Patiente de 70 ans / réhabilitation esthétique par facettes
Cas 9
Patiente de 70 ans / réhabilitation totale par couronnes
Cas 10
Patiente de 55 ans / réhabilitation esthétique par facettes
Nos fiches conseils
L’émail de la dent étant légèrement poreux, le tabac, le thé ou le café peuvent lui donner une coloration disgracieuse. Quelles solutions pour y remédier ?
Le tiers inférieur du visage, avec particulièrement les dents et la bouche, constitue un élément important pour le regard d'autrui.
Comment redonner tout son éclat à votre sourire ? Les étapes et les avantages de l’éclaircissement dentaire pratiqué au cabinet.
Certains défauts esthétiques du sourire, et plus particulièrement de la gencive, peuvent être traités à l’aide d’une greffe gingivale.
La dentisterie adhésive regroupe l’ensemble des traitements destinés à reconstruire ou embellir les dents grâce à des techniques de collage.
Restaurez la beauté naturelle de vos dents en agissant sur leur teinte, leur forme, leur taille et leur alignement grâce à l’esthétique dentaire.
Les facettes sont des revêtements très fins en céramique qui sont collés sur la face externe des dents pour retrouver un sourire harmonieux.













